REVITALIZE YOUR SMILE.
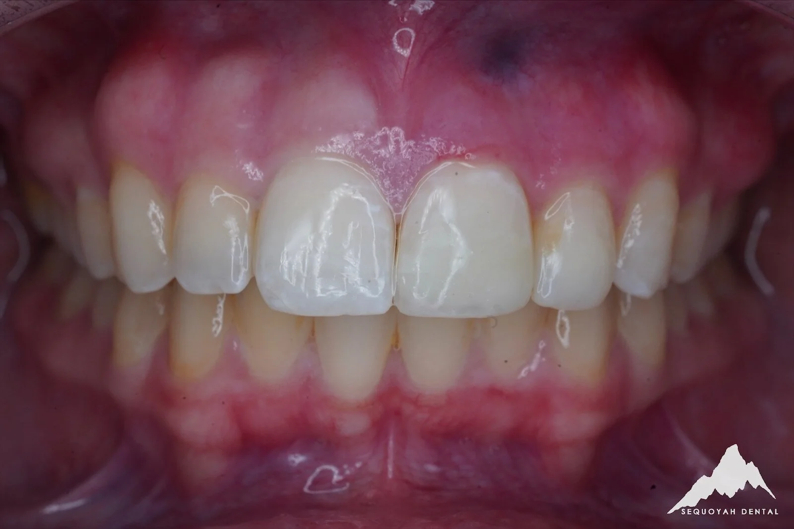
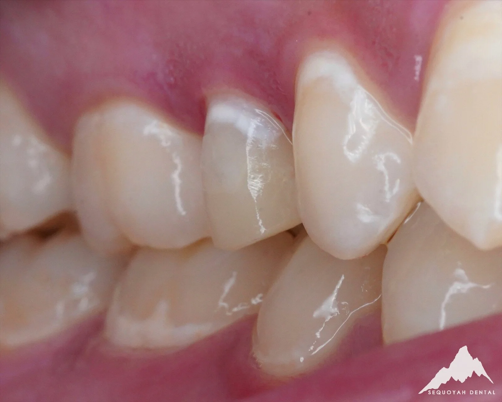
EXHIBIT A: 3D-Printed Veneers on Tooth #7 and #10
EXHIBIT B: BEFORE and AFTER Composite Bonding
EXHIBIT C: BEFORE and AFTER Frenectomy
EXHIBIT D: BEFORE and AFTER SureSmile Orthodontic Aligners
EXHIBIT E: BEFORE Cosmetic Treatment
EXHIBIT E: AFTER Cosmetic Treatment
EXHIBIT F: Missing Tooth BEFORE Treatment
EXHIBIT F: Missing Tooth AFTER Treatment
EXHIBIT G: Missing Tooth BEFORE Treatment
EXHIBIT G: Missing Tooth AFTER Treatment
EXHIBIT H: Chipped Tooth BEFORE Treatment
EXHIBIT H: Chipped Tooth AFTER Treatment
EXHIBIT I: Gum Recession and Worn Teeth BEFORE Treatment
EXHIBIT I: Gum Recession and Worn Teeth AFTER Treatment
EXHIBIT J: Plaque Buildup and Discoloration on Enamel BEFORE Treatment
EXHIBIT J: Plaque Buildup and Discoloration on Enamel AFTER Treatment
EXHIBIT K: BEFORE and AFTER Teeth Restoration Treatment
EXHIBIT L: BEFORE and AFTER Dental Cleaning Showing Plaque Removal
EXHIBIT M: Yellowing and Plaque Build-up BEFORE Treatment
EXHIBIT M: Yellowing and Plaque Build-up AFTER Treatment
EXHIBIT N: Dental Crown Implant in Place BEFORE Treatment
EXHIBIT N: Dental Crown Implant AFTER Treatment
EXHIBIT O: Cavities and Tooth Decay BEFORE Treatment
EXHIBIT O: Cavities and Tooth Decay AFTER Treatment
EXHIBIT P: Dental Implant BEFORE Treatment
EXHIBIT P: Dental Implant AFTER Treatment
EXHIBIT Q: Tooth Decay and Damaged Gums BEFORE Treatment
EXHIBIT Q: Tooth Decay and Damaged Gums AFTER Treatment
EXHIBIT R: Decay, Dental Erosion, and Front Upper and Lower Cavities BEFORE Treatment
EXHIBIT R: Decay, Dental Erosion, and Front Upper and Lower Cavities AFTER Treatment
EXHIBIT S: Dental Veneers Next to Natural Teeth BEFORE Treatment Completion
EXHIBIT S: Dental Veneers AFTER Treatment
EXHIBIT T: Enamel and Translucency BEFORE Treatment
EXHIBIT T: Enamel and Translucency AFTER Treatment
Book a Consultation
We look forward to hearing from you.